Journal Publications


  1. Phosphorene Nanoribbon-Augmented Optoelectronics for Enhanced Hole Extraction
    Macdonald TJ, Clancy AJ, Xu W, Jiang Z, Lin C-T, Mohan L, Du T, Tune DD, Lanzetta L, Min G, Webb T, Ashoka A, Pandya R, Tileli V, McLachlan MA, Durrant JR, Haque SA, Howard CA J. Am. Chem. Soc. (2021), 143(51), 21549

  2. Bioengineering the ameloblastoma tumour to study its effect on bone nodule formation
    Bakkalci D, Jay A, Rezaei A, Howard CA, Haugen HJ, Pape J, Kishida S, Kishida M, Jell G, Arnett TR, Fedele S, Cheema U Sci. Rep (2021), 11, 24088

  3. Neutron studies of Na-ion battery materials
    Shah AR, Shutt RRC, Smith K, Hack J, Neville TP, Headen TF, Brett DJL, Howard CA, Miller TS, Cullen PL J. Phys. Mater. (2021), 4, 042008

  4. Probing Electron-Phonon Interactions Away from the Fermi Level with Resonant Inelastic X-Ray Scattering
    Dashwood CD, Geondzhian A, Vale JG, Pakpour-Tabrizi AC, Howard CA, Faure Q, Veiga LS, Meyers D, Chiuzbăian SG, Nicolaou A, Jaouen N, Jackman RB, Nag A, Garcia-Fernandez M, Zhou K-J, Walters AC, Gilmore K, McMorrow DF, Dean MPM Phys. Rev. X (2021), 11, 041052

  5. Charge density waves in electron-doped molybdenum disulfide
    Bin Subhan MK, Suleman A, Moore G, Phu P, Hoesch M, Kurebayashi H, Howard CA, Schofield SR Nano Letts. (2021), 21(13), 5516

  6. Characterizing Batteries by In Situ Electrochemical Atomic Force Microscopy: A Critical Review
    Zhang Z, Said S, Smith K, Jervis R, Howard CA, Shearing PR, Brett DJ, Miller TS Adv. Energy. Mater. (2021)

  7. Diaphite-structured nanodiamonds with six-and twelve-fold symmetries
    Nemeth P, McColl K, Garvie LA, Salzmann CG, Pickard CJ, Corà F, Smith RL, Mezouar M, Howard CA, McMillan PF Diam. Relat. Mater. (2021), 119, 108573

  8. Intermediate Range Order in Metal–Ammonia Solutions: Pure and Na-Doped Ca-NH3
    Nicholas TC, Headen TF, Wasse JC, Howard CA, Skipper NT, Seel AG J. Phys. Chem. B. (2021), 125(27), 7456

  9. A novel fuel cell design for operando energy-dispersive X-ray absorption measurements
    Leach AS, Hack J, Amboage M, Diaz-Moreno S, Huang H, Cullen PL, Wilding M, Magliocca E, Miller T, Howard C, Brett D, Shearing PR, McMillan PF, Russell AE, Jervis R J. Condens. Matter Phys. (2021), 33, 314002

  10. Deep neural networks in chemical engineering classrooms to accurately model adsorption equilibrium data. Education for Chemical Engineers
    Kakkar S, Kwapinski W, Howard CA, Kumar KV Educ. Chem. Eng. (2021), 36, 115

  11. Exfoliating large monolayers in liquids
    Howard CA Nature Mater. (2021), 20, 130

  12. Understanding spontaneous dissolution of crystalline layered carbon nitride for tuneable photoluminescent solutions and glasses
    Clancy AJ, Suter TM, Taylor A, Bhattacharaya S, Miller TS, Brazdova V, Aliev AE, Chauvet AP, Cora F, Howard CA, McMillan PF J. Mater. Chem. A (2021), 9, 2175

  13. Probing adsorbent heterogeneity using Toth isotherms
    Kumar VK, Gadipelli S, Howard CA, Kwapinski W, Brett DJL J. Chem. Mater. A (2021), 9, 944

  14. Aquaporin-like water transport in nanoporous crystalline layered carbon nitride
    Foglia F, Clancy AJ, Berry-Gair J, Lisowska K, Wilding MC, Suter TM, Miller TS, Smith K, Demmel F, Appel M, Sakai VG, Sella A, Howard CA, Tygai M, Cora F, McMillan PF Sci. Adv. (2020), 6, 39, eabb6011

  15. Elucidating the Sodiation Mechanism in Hard Carbon by Operando Raman Spectroscopy
    Weaving JS, Lim A, Millichamp J, Neville TP, Ledwoch D, Kendrick E, McMillan PF, Shearing PR, Howard CA, Brett DJ ACS Appl. Energy Mater. (2020), 3(8), 7474

  16. Realising the electrochemical stability of graphene: scalable synthesis of an ultra-durable platinum catalyst for the oxygen reduction reaction
    Angel GM, Mansor N, Jervis R, Rana Z, Gibbs C, Seel A, Kilpatrick AF, Shearing PR, Howard CA, Brett DJ, Cullen PL Nanoscale (2020), 12, 16113

  17. Tuning the interlayer spacing of graphene laminate films for efficient pore utilization towards compact capacitive energy storage
    Li Z, Gadipelli S, Li H, Howard CA, Brett DJ, Shearing PR, Guo Z, Parkin IP and Li F Nature Energy (2020), 5, 160

  18. Superior multifunctional activity of nanoporous carbons with widely tuneable porosity: enhanced storage capacities for carbon-dioxide, hydrogen, water and electric charge
    Gadipelli S, Howard CA, Guo J, Skipper NT, Zhang H, Shearing P, Brett D Adv. Energy Mater. (2020)

  19. The Liquid Structure of the Solvents Dimethylformamide (DMF) and Dimethylacetamide (DMA)
    Basma N, Cullen PL, Clancy AJ, Shaffer MSP, Skipper NT, Headen TF, Howard CA Mol. Phys. (2019), 117(32), 3353

  20. Production of phosphorene nanoribbons
    Watts MC, Picco L, Russell-Pavier FS, Cullen PL, Miller TS, Bartuś SP, Payton OD, Skipper NT, Tileli V, Howard CA Nature (2019), 586, 216

  21. Solvation of Na- in the Sodide Solution, LiNa.10MeNH2
    Seel AG, Holzmann N, Imberti S, Bernasconi L, Edwards PP, Cullen PL, Howard CA, Skipper NT J. Phys. Chem. B (2019), 123(25), 5337

  22. Characterization of the adsorption site energies and heterogeneous surfaces of porous materials
    Kumar KV, Gadipelli S, Wood B, Ramisetty K, Stewart A, Howard CA, Brett D, Rodriguez-Reinoso F J. Mater. Chem. A (2019), 7, 10104

  23. Magnetic control of graphitic microparticles in aqueous solutions
    Nguyen J, Conca DV, Stein J, Bovo L, Howard CA, Garcia IL Proc. Natl. Acad. Sci. (USA) (2019), 116 (7), 2425

  24. Formation of an ion-free crystalline carbon nitride and its reversible intercalation with ionic species and molecular water
    Suter TM, Miller TS, Cockcroft JK, Aliev AE, Wilding MC, Sella A, Corà F, Howard CA, McMillan PF Chem. Sci. (2019), 10, 2519

  25. Exceptional supercapacitor performance from optimized oxidation of graphene-oxide
    Li Z, Gadipelli S, Yang Y, He G, Guo J, Li J, Lu Y, Howard CA, Brett DJ, Parkin IP, Li F Energy Storage Materials (2019), 17, 12

  26. Local Structure and Polar Order in Liquid N-Methyl-2-pyrrolidone (NMP)
    Basma NS, Headen TF, Shaffer MS, Skipper NT, Howard CA J. Phys. Chem. B (2018), 122(38), 8963

  27. Charged Carbon Nanomaterials: Redox Chemistries of Fullerenes, Carbon Nanotubes, and Graphenes
    Clancy AJ, Bayazit MK, Hodge SA, Skipper NT, Howard CA, Shaffer MS Chem. Rev. (2018), 118(16), 73638

  28. Fast Exfoliation and Functionalisation of Two-Dimensional Crystalline Carbon Nitride by Framework Charging
    Jia J, White ER, Clancy AJ, Rubio N, Suter T, Miller TS, McColl K, McMillan PF, Brázdová V, Corà F, Howard CA, Law RV, Mattevi C, Shaffer MSP Angew. Chem. Int. Ed. (2018) 130(39), 12838

  29. Lattice dynamics of the cluster chain compounds M2Mo6Se6 (M= K, Rb, Cs, In, and Tl)
    Gannon L, Boeri L, Howard CA, Gougeon P, Gall P, Potel M, Salloum D, Petrovic AP, Hoesch M Phys. Rev. B (2018), 98(1), 014104

  30. Synthesis, Structure and Electronic Properties of Graphitic Carbon Nitride Films
    Suter T, Brázdová V, McColl K, Miller TS, Nagashima H, Salvadori E, Sella A, Howard CA, Kay CW, Corà F, McMillan PF J. Phys. Chem. C (2018), 122(44), 25183

  31. Single Crystal, Luminescent Carbon Nitride Nanosheets Formed by Spontaneous Dissolution
    Miller TS, Suter TM, Telford AM, Picco L, Payton OD, Russell-Pavier F, Cullen PL, Sella A, Shaffer MSP, Nelson J, Tileli V, McMillan PF, Howard CA Nano Letts. (2017), 17, 5891 (Cover)

  32. Trajectory of the Selective Dissolution of Charged Single-Walled Carbon Nanotubes
    Buckley DJ, Hodge SA, De Marco M, Hu S, Anthony DB, Cullen PL, Skipper NT, Shaffer MS, Howard CA J. Phys. Chem. C (2017), 121 (39), 21703

  33. Chemical routes to discharging graphenides
    Hodge SA, Buckley DJ, Yau HC, Skipper NT, Howard CA, Shaffer MSP Nanoscale (2017) 9(9), 3150

  34. Ionic solutions of two-dimensional materials
    Cullen PL, Cox KM, Bin Subhan, MK, Picco L, Payton OD, Buckley DJ, Miller TS, Hodge SA, Skipper NT, Tileli V, Howard CA Nature Chem. (2017), 9, 244

  35. Electron Solvation and the Unique Liquid Structure of a Mixed-Amine Expanded Metal: The Saturated Li-NH3-MeNH2 System
    Seel AG, Swan H, Bowron, DT, Wasse JC, Weller T, Edwards PP, Howard CA, Skipper NT Angew. Chem. Int. Ed (2017), 56(6), 1561

  36. Graphitic Carbon Nitride as a Catalyst Support in Fuel Cells and Electrolyzers
    Mansor N, Miller TS, Dedigama I, Jorge AB, Jia J, Brázdová, V, Howard CA, Corà F, Shaffer MSP, Brett DJL, McMillan PF Electrochimica Acta (2016) 222, 44

  37. Superconductivity in Ca-doped graphene laminates
    Chapman J, Su Y, Howard CA, Kundys D, Grigorenko AN, Guinea F, Geim AK, Grigorieva IV, Nair, RR Sci. Rep. (2016), 6, 23254

  38. Questioning Antiferromagnetic Ordering in the Expanded Metal Li(NH3)(4): A Lack of Evidence from mu SR
    Seel AG, Baker PJ, Cottrell SP, Howard CA, Skipper NT, Edwards PP J. Phys. Chem. Letts. (2015), 6(19), 3966

  39. Superconductivity in graphite intercalation compounds
    Smith RP, Weller TE, Howard CA, Dean MPM, Rahnejat KC, Saxena SS, and Ellerby M Physica C (2015), 514, 50

  40. Probing the charging mechanisms of carbon nanomaterial polyelectrolytes
    Hodge SA, Tay HH, Anthony DB, Menzel R, Buckley DJ, Cullen PL, Skipper NT, Howard CA, Shaffer MSP Faraday Discussions (2014), 172, 311

  41. Superconducting graphene sheets in CaC6 enabled by phonon-mediated interband interactions
    Yang S-L, Sobota JA, Howard CA, Pickard CJ, Hashimoto M, Lu DH, Mo S-K, Kirchmann PS, Shen Z-X Nature Comms. (2014), 5, 3493

  42. Electrochemical Processing of Discrete Single-Walled Carbon Nanotube Anions
    Hodge SA, Fogden S, Howard CA, Skipper NT, Shaffer MSP ACS Nano (2013), 7(2), 1769

  43. Structure and Morphology of Charged Graphene Platelets in Solution by Small Angle Neutron Scattering
    Milner EM, Skipper NT, Howard CA, Shaffer MSP, Buckley DJ, Rahnejat A, Heenan RK, Linder P and Schweins P J. Am. Chem. Soc. (2012), 134, 8302

  44. Reply to Comment by Calandra et al. on "Electronic Structure of Superconducting KC8 and Nonsuperconducting LiC6 Graphite Intercalation Compounds: Evidence for a Graphene-Sheet-Driven Superconducting State"
    Pan Z-H, Fedorov AV, Howard CA, Ellerby M and Valla T Phys. Rev. Letts. (2012), 108, 149702

  45. Charge-density waves discovered on graphene sheets
    Howard, CA, Rahnejat, KC, & Hirjibehedin, CF SPIE Newsroom (2012)

  46. A Scalable Method for the Reductive Dissolution, Purification, and Separation of Single-Walled Carbon Nanotubes
    Fogden S, Howard CA, Heenan R, Skipper NT, Shaffer MSP ACS Nano (2011), 6(1), 54

  47. Phonons in potassium doped graphene: the effects of electron-phonon interactions, dimensionality and ad-atom ordering
    Howard CA, Dean MPM and Withers F Phys. Rev. B: Rapid Communications (2011), 84, 241404

  48. Electronic Structure of Superconducting KC8 and Non-superconducting LiC6 Graphite Intercalation Compounds: Evidence for a Graphene-Sheet Driven Superconducting State
    Pan Z-H, Camacho J, Upton MH, Fedorov AV, Howard CA, Ellerby M, and Valla T Phys. Rev. Letts. (2011), 106, 187002

  49. The effect of crystallographic texturing on the study of phonons in graphite intercalation compounds
    Walters AC, Howard CA, Upton MH, Alatas A, Leu, BM, Ellerby E, McMorrow DF, Hill JP, Calandra M and Mauri F Phys. Rev. B (2011), 84, 14511

  50. Charge Density Waves on the Graphene Sheets of the Superconductor CaC6
    Rahnejat KC, Howard CA, Shuttleworth NE, Schofield SR, Iwaya K, Hirjibehedin CF, Renner Ch., Aeppli A, Ellerby M Nature Comms. (2011), 2, 558 (Featured Image)

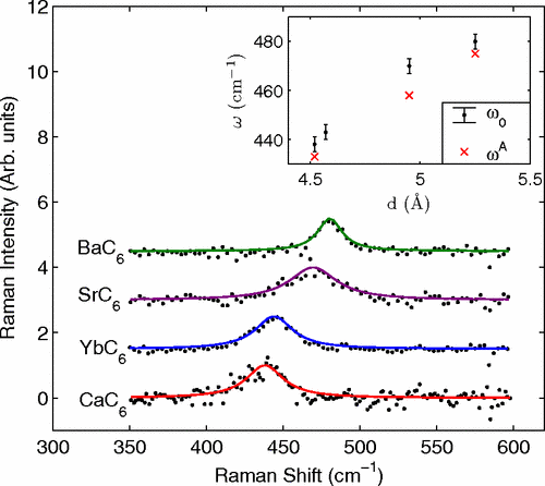
  51. Phonons and superconductivity in YbC6 and related compounds
    Upton MH, Forrest, TR Walters AC, Howard CA, Ellerby M, Said AH, and McMorrow DF Phys. Rev. B (2010), 82, 134514

  52. Structure and phase stability of hydrogenated first-stage alkali- and alkaline-earth metal-graphite intercalation compounds
    Srinivas G, Lovell A, Howard CA, Skipper NT, Ellerby M and Bennington SM Synth. Met. (2010), 160(15), 1631

  53. The Structure of π-π Interactions in Aromatic Liquids
    Headen TF, Howard CA, Skipper NT, Wilkinson MA, Bowron DT, Soper AK J. Am. Chem. Soc. (2010), 132 (16), 5735 (Cover)

  54. Neutron scattering study of the high energy graphitic phonons in superconducting CaC6
    Dean MPM, Walters AC, Howard CA, Weller TE, Calandra M, Mauri F, Ellerby M, Saxena SS, McMorrow DF, Ivanov Phys. Rev. B. (2010), 82, 14533

  55. Non-adiabatic phonons within the doped graphene layers of XC6 compounds
    Dean MPM, Howard CA, Saxena SS and Ellerby M Phys. Rev. B. (2010), 81, 45405

  56. High temperature hydrogenation of CaC6
    Srinivas G, Howard CA, Skipper NT, Bennington SM, Ellerby M Physica C (2009), 469(22), 2000

  57. Effect of hydrogenation on structure and superconducting properties of CaC6
    Srinivas G, Howard CA, Bennington SM, Skipper NT and Ellerby E J. Mater. Chem. (2009), 19, 5239

  58. Anisotropic Electron-Phonon Coupling and Dynamical Nesting on the Graphene Sheets in Superconducting CaC6 using ARPES
    Valla T, Camacho J, Pan Z-H, Fedorov AV, Walters AC, Howard CA and Ellerby M Phys. Rev. Lett. (2009), 102, 107007

  59. Computer Simulations of Fulleride Anions in Metal-Ammonia Solutions
    Howard CA and Skipper NT J. Phys. Chem. B (2009) 113(11), 3324

  60. Phonons in superconducting CaC6 studied via inelastic x-ray scattering
    Upton MH, Walters AC, Howard CA, Rahnejat KC, Ellerby E, Hill JP, McMorrow DF, Alatas A, Bogdan M. Leu and Wei Ku Phys. Rev. B: Rapid Communications (2007), 76, 220501

  61. The solvation structure of fulleride C605- anions in potassium ammonia solution
    Howard CA, Wasse JC, Skipper NT, Thompson H and Soper AK J. Phys. Chem. C (2007), 111 (15), 5640 (Cover)

  62. Small-angle neutron scattering measurements of the vortex lattice in CaC6
    Cubitt R, White JS Laver M, Eskildsen MR, Dewhurst CD, Paul DMcK, Crichton AJ, Ellerby M, Howard CA, Kurban K and Norris F Phys. Rev. B: Rapid Communications (2007), 75, 140516

  63. The Formation of Giant Solvation Shells Around Fulleride Anions in Liquid Ammonia
    Howard CA, Thompson H, Wasse JC, Skipper NT J. Am. Chem. Soc. (2004), 126, 13228

  64. The structure of calcium-ammonia solutions by neutron diffraction
    Wasse JC, Howard CA, Thompson H, Skipper NT, Delaplane RG and Wannberg A J. Chem. Phys. (2004), 121(2), 996

  65. The Structure of Polaronic Electron Cavities in Lithium Ammonia Solutions
    Thomson H, Wasse JC, Skipper NT, Howard CA, Bowron DT and Soper AK J. Phys. Condens. Matter. (2004), 16, 5639